Smile Gallery
Amanda's Case
Amanda came to our office with a nice set of teeth but wanted them to look longer and whiter. Amanda is a regular on television but usually smiled with her lips only. Dr. Haque examined Amanda's mouth, got the diagnostic x-rays, photos, and models and came up with a game plan. This included whitening and veneers on her upper and lower front teeth. Amanda now smiles ear to ear in all of her TV spots!
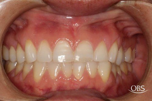
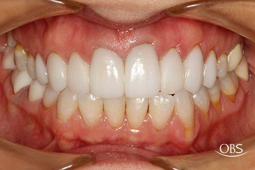
Angela's Case
Angela came in with broken down fillings and was hoping to get the ability to bring her teeth together in the front. She had been told that she would need jaw surgeries to move her entire jaws to close her teeth. After getting x-rays and photos and digital models, Dr. Haque and his team at Oak Brook Smiles came up with a treatment plan. Dr. Haque showed her that her goals could be achieved with some crowns and veneers and some bite adjustments to the back teeth. She also wanted her teeth to be whiter, so whitening was done after a deep cleaning. You can see the results! Angela absolutely loves her new smile!
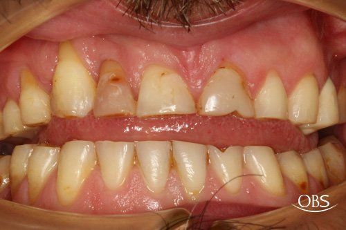
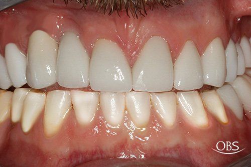
Gary's Case
Gary wanted to know how to deal with his chipping and broken down teeth. Dr. Haque came up with a plan to protect his teeth with zirconia crowns and bridges after a deep cleaning and whitening. Gary went ahead and got it done and now he looks like a rockstar!
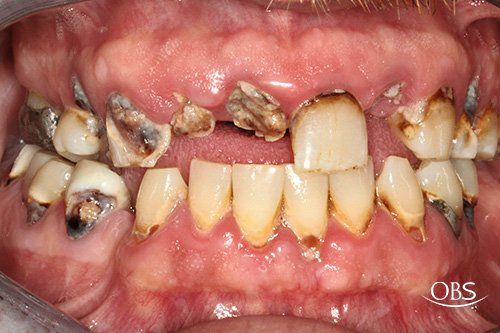
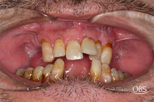
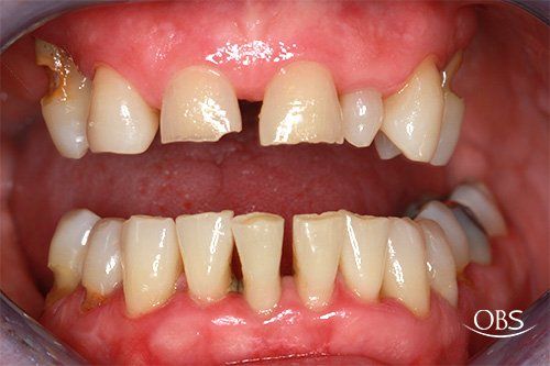
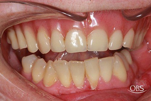
Keith's Case
Keith had gone to a few different dental offices including some of the larger dental rehab offices downtown to get ideas on how to fix his mouth. He was extremely embarrassed to smile or even talk without his hand over his mouth. All of those clinics wanted to take all of his teeth out, but Dr. Haque decided to save Keith's lower front teeth and take out the upper teeth and lower back teeth. After placing 4 implants and making a temporary set up upper teeth, lower front crowns were done and a lower partial denture was made. A couple of months later a final set up upper teeth was made that stays fixed on his upper jaw and he looks amazing! Keith now smiles with confidence and looks like a new man!
Renee's Case
Renee works in sales and with people all day in construction. She was embarrassed to smile because she was missing multiple teeth and had a lot of cavities. She was very self conscious about her teeth, so she came to Oak Brook Smiles looking for a solution. Dr. Haque discussed her treatment plan, and laid out the steps to achieve optimal oral health. Crowns and implants were done to give her this new beautiful smile! Renee recently came in raving, “I love to smile to smile now, and everyone raves about how gorgeous my teeth look!”
George's Case
George wanted to be able to eat all of the foods that he loved again. He wasn’t able to eat well because of multiple broken and missing teeth that were causing him extreme pain. We decided to go with the All-on-4 implants process, and it was all completed here at Oak Brook Smiles from the CT Scan to the implants to the final restorations. He was so happy with his new teeth!
Josie's Case
Josie had a front upper dental bridge that she absolutely hated. It was done recently at another office. She couldn’t close her mouth and had speech issues as well. Dr. Haque fixed her problems by giving her new anterior crowns and a new dental bridge using excellent dental labs and materials. She was so ecstatic about her whiter, broader smile. She has had such a great experience at Oak Brook Smiles that she has referred her friends and family here and is in the process of redoing her lower front teeth as well.
Clark's Case
Clark is a successful lawyer downtown and deals with high end clients all day. He was very self conscious about the way his teeth looked and was ready for a change. After reviewing his x-rays with him, Dr. Haque discussed All-on-4 dental implants with Clark. He was excited for the change, and went ahead and got it done. He walked out of the dental procedure with this beautiful new smile and a whole lot of confidence! He has recently moved out of state but still comes back to us for his dental care and maintenance.
Betty's Case
Betty has worked at the local high school for decades. She has been caring for a disabled family member most of her life, and finally decided to do something for herself. She came in to Oak Brook Smiles unhappy with the look of her teeth and fully aware of the missing and decayed remaining teeth. Dr. Haque went over her treatment options and she opted for All-on-4 dental implants. Once we completed the case, Betty was so happy with the way things came out! She started dating again and says that she can’t stop smiling!
Beth's Case
Beth had an upper denture that was loose and she had to use half a tube of Fixodent to keep it in place everyday. She didn’t like the color of her teeth or the shape of her lower teeth. Her husband didn’t even know that she had a denture, but she finally told him after she got so frustrated with the pain that she lived through with moving upper teeth. Dr. Haque used dental implants to support new upper and lower restorations in her mouth and now she is eating with comfort and ease.
Andrea's Case
Andrea had bonding done on her front teeth as a child after she fell off of her bike. Over time, the bonding had discolored and decayed. She was really unhappy with the look of her smile. She also didn’t like the space between her upper and lower teeth. Dr. Haque used a combination of crowns and veneers to give Andrea a complete smile makeover. Andrea said, “My new smile makes me look 10 years younger!”
Jerry's Case
Jerry is an executive downtown and came in unhappy with his front teeth starting to crowd. He did not want braces and wanted to get his teeth looking straighter and whiter. Dr. Haque completed anterior upper veneers and Jim absolutely loves them. He wishes he had done it sooner.
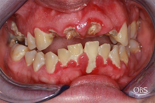
Liz's Case
Liz was suffering from severe gum disease, painful and broken teeth, and bad breath. She was also extremely embarrassed to show any of her teeth. Dr. Haque and his team at Oak Brook Smiles started her treatment with gum therapy followed by crowns, implants, and bridges. This full mouth reconstruction changed Liz’s life. She was no longer in pain, ended up getting married, and is now a mother of 3 beautiful children.
Lester's Case
Lester is a retired technology consultant. He came in with missing upper front teeth because his grandchildren asked him about them. He started researching dental implants and found Oak Brook Smiles. Dr. Haque completed Lester’s case over the course of a few months. His grandchildren were so happy to see that he now has all of his teeth.





























